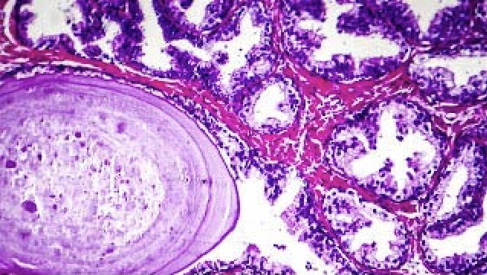
Case Study: Image Monitored PEMF Treatment of Hyperplasia
February 20, 2024

Click here to view PDF
Want to SHARE this?
RELATED CONTENT
Our experts are one click away
To get more insight into Nova HD and PEMF or to chat with an expert now, fill out the form.
2208 Plantside Drive
Louisville, KY 40299
888-85-PEMF1
2208 Plantside Drive
Louisville, KY 40299
888-85-PEMF1


